Haz parte HOY del curso

Éxitos y realidades en carillas cerámicas

10 Módulos

 
CUPOS LIMITADOS
TENDRÁS ACCESO INMEDIATO A TU CURSO EN PLATAFORMA Y LA GRABACIÓN DE CADA CLASE POR 1 AÑO !
¡QUIERO INSCRIBIRME!

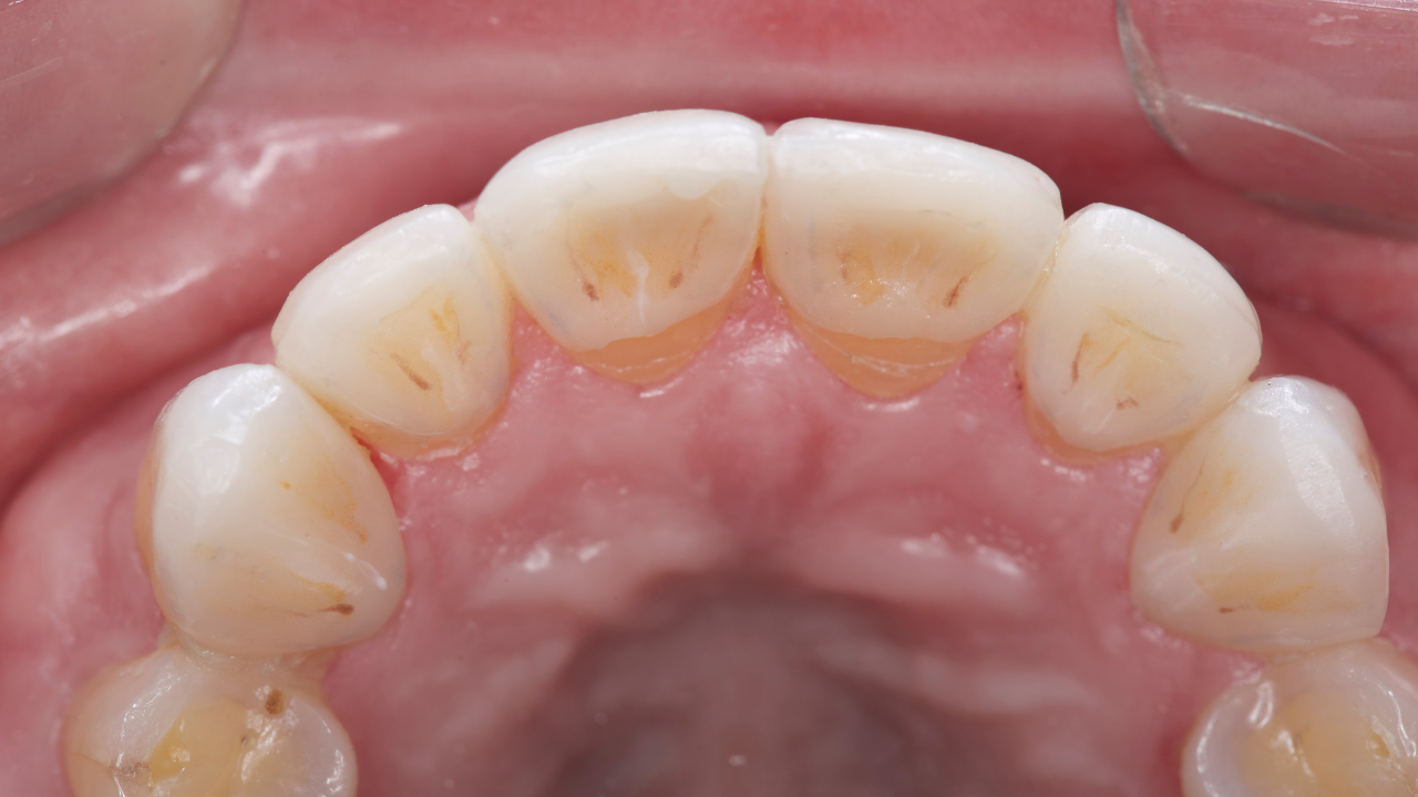
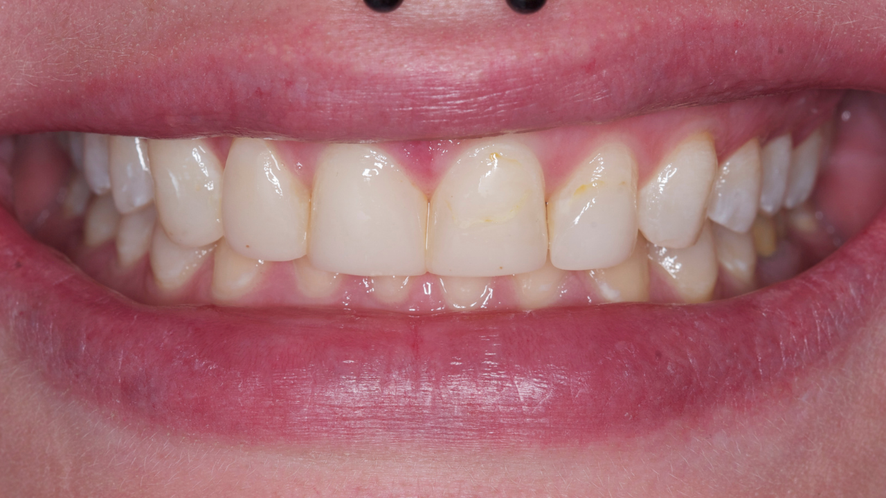
Ellos ya han visto resultados...

ÚNETE AL CURSO

Éxitos y realidades en carillas cerámicas

 

¡Por fin! Un método COMPROBADO para lograr mejores resultados con tus carillas cerámicas. 

 

Te ha pasado que no lograste que tu paciente se sintiera satisfecho con el tratamiento.

No te llega la cantidad suficiente de pacientes por recomendación?

No sientes seguridad al momento de realizar un tratamiento de carillas cerámicas.

Quieres aprender a planificar correctamente tus tratamientos.

No estas seguro que material usar y por qué?. 

No conoces los diferentes tipos de preparación para carillas y como usarlas en cada caso.

 

Si alguna vez te ha pasado esto, este curso  ES PARA TI .

COMIENZA AHORA

MÓDULOS DEL CURSO

Tu inscripción al Curso Incluye:

  • Acceso a 10 módulos - Clases pregrabadas Online
    [Valorado en $ 397 usd]
     
  • Acceso a material teórico
    [Valorado en $ 97 usd]
  • Acceso a grabación de las clases por 1 año
    [Valorado $ 297 usd]

SÓLO POR TIEMPO LIMITADO 

397 dólares

>>Inscríbete ahora por 397 usd <<

En este curso online aprenderas el paso a paso del MÉTODO PROBADO para que logres que tus carillas cerámicas sean un ÉXITO

 

Múltiples tipos de preparación.

 Manejo de adhesivos y cementación.

Planificación para tus carillas cerámicas.

Toma correcta de color.

Mantenimiento de carillas cerámicas .

Fracasos en carillas cerámicas.

 

Si quieres aprender todo esto y más asegura tu cupo en el curso AHORA!

Haz clic aquí para acceder al curso

Lo siguiente es una breve muestra de lo que te revelamos en este entrenamiento:

✓ Importancia clínica de los tejidos. 

 Tipos de preparaciones

  Planeación analógico - digital.

  Como obtener buenos resultados con dientes o sustratos oscurecidos.

✓  Que errores puedes cometer y aprender a evitarlos.

Toma de impresión adecuada.

Que debes exigirle a tu técnico dental.

Que hacer cuando se expone mas del 50% de dentina en tu preparación.

Protocolos comprobados.

Materiales: Uso y recomendaciones en cada paso.

Cuidados que debe tener el paciente.

Satisfacción Garantizada

Si el primer día, el curso no cumple con tus expectativas puedes pedir el reembolso de tu dinero, sin ningún inconveniente.

Solo recuerda que la solicitud de reembolso debe ser radicada a más tardar el primer día del curso.

 Dr. Jaime Dussan

Docente apasionado, siempre comprometido con la enseñanza basada en la evidencia científica, se caracteriza por mostrar siempre la odontología REAL del día a día y por enseñar siempre las mejores formas de llegar al éxito en los  planes de tratamientos. 
  • Odontólogo, Universidad Autónoma de Manizales.
  • Especialista en Rehabilitación Oral, Universidad CES (Medellín).
  • Maestría en Fisiopatología Cráneo- Cervico Mandibular y Dolor Facial, Universidad Andrés Bello – Chile-
  • Docente Posgrado en Rehabilitación Oral, Universidad Autónoma de Manizales.
  • Ex-Director Posgrado en Rehabilitación Oral, Unicoc Santiago de Cali.
  • Docente, Unicoc desde 2006.
  • Miembro Activo Asociación Colombiana de Prostodoncia.
  • Conferencista internacional.

 

PREGUNTAS FRECUENTES:

Si necesita apoyo o solucionar alguna duda, haga clic en el siguiente botón.

Asesor Lifedent Academy
Copyright © 2022 LifeDentAcademy | Todos los derechos reservados
Términos de Uso· Política de privacidad · Disclaimer
“Este producto se comercializa con el apoyo de Hotmart. La plataforma no realiza un control editorial previo de los productos ofertados, ni evalúa el tecnicismo o la experiencia de quienes los elaboran. La existencia de un producto y su compra, a través de la plataforma, no puede exigir garantía de calidad de contenido y resultado, en ningún caso. Al adquirirlo, el comprador declara conocer esta información. Puedes acceder a los términos y políticas de Hotmart aquí, incluso antes de finalizar la compra "